Флюорография курильщика позволяет определить патологии, которые происходят в легких, если причиной является курение.Табачный дым оказывает вредное воздействие на весь организм, но в особенности страдает легочная система.
Обследование нужно проводить один раз в год для людей не подверженных вредной привычке, а курильщикам такой диагностику следует проходить чаще.
↑ Используй поискМучает какая-то проблема? Нужно больше информации?
Введите в форму и нажмите Enter!
Негативные изменения у курильщика в дыхательной системе начинаются сразу после первой выкуренной сигареты. А если у человека пагубная привычка наблюдается на протяжении долгого времени, то такие проявления со временем будут только усугубляться.
Флюорография позволяет определить патологии в легких. При выявлении проблем на снимке проводится рентген в 2 проекциях.
Результат этой диагностики помогает обнаружить бронхит курильщика. Заболевание в основном появляется у курящих людей с длительным стажем курения.
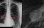
Вот флюорография курильщика и здорового человека.
Но такие изменения на флюорографическом снимке наблюдаются и при других сопутствующих факторах.
Заболевания дыхательной системы развиваются и у некурящих людей, которые работают на вредном производстве или вследствие влияния загрязненной экологии. Курение будет только ухудшать общую картину болезни.
Если человек курит и других возможных вредных факторов воздействия не существует, то флюорография легких курильщика подтверждает возникновение патологий в дыхательном органе, как последствие курения.
Проведение рентгенологического исследования помогает выяснить, что показывает снимок у здорового человека и у курильщика.
Внешний вид прокуренных легочных полей напоминает решето, такая картина получается в результате возникновения множественных полостных образований, вызванные изменениями в бронхах и воспалительными процессами.
Основным отличием в снимке курильщика от легких, не подверженных вредной привычки, является сгущение легочного рисунка. Данные изменения происходят из-за разрастания соединительной ткани в нижних отделах альвеолах дыхательного органа.
Вместе с этим наблюдается снижение проходимости в мелких бронхах, и в результате застоя слизи вызывает расширение альвеол. Нарушения приводят к образованию бронхоэктазов.
↑Пройди тест для курящих
https://myweak.ru/kurenie/posledstviya/flyuorografiya-kurilshhika.html
Отличительным проявлением курящего человека есть разрастание соединительной ткани, которое вызывает сгущение легочного рисунка.
Определение такой патологии проводится путем вычисления количества мелких теней в одном участке, полученном перекрестом теней ребер. Характерным признаком курения является, и просветление легочных полей на периферии.
Определить курильщика по рентгеновскому снимку возможно по изменениям в области корней легких. Участок визуализируется в том месте, где заканчиваются 2 основных бронха, и начинается легочная ткань.
В результате патологических нарушений в капиллярах, изменений в оттоке лимфатической жидкости и межклеточном обмене образуются патологии в корнях:
- Мало структурность корневой ткани, которая не позволяет определить структурные элементы легочной системы;
- Расплывчатость и неясность контуров не дает возможности выявить очертания бронхов из-за разрастания соединительной ткани;
- Деформирование корней, вызванное воспалительными заболеваниями. В результате этого основание легочного органа не имеет четких линий, бронхи преобразуются в изогнутую форму;
- Росту плотности ткани легкого помогает отложение солей кальция и пылевые оседания, видоизменения в лимфоузлах и сосудах, накопления лимфатической жидкости.
Кроме данных нарушений в легких определяют и дополнительные тени на снимках грудной клетки.
↑
Рентгенологическое обследование дыхательного органа у курильщика с большим опытом курения выявляют и тени, которые формируются при заболеваниях:
- Злокачественные образования;
- Грыжа диафрагмальная;
- Туберкулез;
- Астма бронхиальная;
- Бронхит;
- Бронхоэктазы.
Определение теней у человека с вредной привычкой происходит в основном на фоне бронхита и бронхоэктаз. Данные заболевания на снимке флюорографии фиксируются как округлые просветления.
https://youtube.com/watch?v=b00mkc3BfTQ
Какие изменения проявляются на снимках легких.
Недостаток метода – сомнительное качество снимка, при наличии подозрений на патологию врач направляет пациента на рентгенографию.
В таблице рассмотрены симптомокомплексы, прослеживаемые на снимке после флюорографии и рентгена:
| Какие изменения могут быть выявлены при флюорографии | |
| Изменение | Описание |
| Усиленный легочный рисунок | Проявляется при наличии новообразований, воспалений и склеротических изменений. |
| Расширение и уплотнение корней легких | Естественная картина изменяется при наличии патологий легких. |
| Фиброзные изменения | Могут проявляться после пневмонии и других поражений легких. |
| Очаговые тени | Могут иметь различные размеры. Проявляются при туберкулезе и воспалении легких. |
| Кальцинаты | Образуются из отложений солей кальция в месте локализации очагов инфекции. |
| Скопление жидкости | Снимок позволяет оценить уровень. Подобный симптом характерен для плеврита. |
| Смещение органов средостения | Результат скопления жидкости или воздуха в плевральной полости. |
| Изменение положения диафрагмы | После травм, оперативных вмешательств, болезней. |
Подобные изменения могут проявиться не только у курильщиков, но пациенты, имеющие никотиновую зависимость, сталкиваются с ними несколько чаще. Связано это с пагубным воздействием состава сигарет на дыхательную систему человека.
Источник: https://uPulmanologa.ru/diagnoz/instrumentalnaya/chto-pokazyvaet-flyuorografiya-legkih-kurilshhika-8
Флюорография – метод диагностического исследования, применяемый для выявления заболеваний бронхо-легочной системы. Большинство курильщиков интересует, исказится ли достоверность данных, если перед процедурой выкурить сигарету.
Поделиться:
