Флюорография – обязательная медицинская процедура, которую нужно делать как минимум раз в год.
Врачи могут с её помощью своевременно определить развитие болезней (туберкулез, воспаление, онкология и другие) и назначить лечение. Здоровым людям процедуры бояться не нужно.
Однако подростки, пристрастившиеся к сигаретам, часто опасаются, что флюорография курильщика имеет заметные отличия, и их пагубная привычка будет раскрыта.
На то, показывает ли флюорография курение, влияет срок действия никотина на организм. Длительное употребление сигарет, действительно, вносит существенные изменения в рисунок легких курильщика, что отмечается на рентгене.
Организм подростков же не успевает за несколько лет накопить такое количество табака, смол и других вредных элементов. Более того, рентгенолог не занимается определением образа жизни и тем, курю я или нет.
Его интересует лишь структура изучаемого объекта на предмет её соответствия медицинским нормам.
Изменение внутренних органов происходит под влиянием не только табака, но и его искусственных заменителей – кальянов, электронных сигарет. Различие между ними состоит лишь в том, что обычные сигареты при регулярном употреблении вызывают бронхит в хронической либо острой формах. Проявляется он не сразу, а после длительного регулярного курения.
При многолетнем курении лёгкие человека постоянно подвергаются негативному влиянию продуктов распада токсинов и дыма.
В результате структура органов уплотняется, а их рисунок на снимке становится более ярко выраженным. Особо заметно это на фоне оставшихся светлых участков, ещё не пострадавших.
Кроме того, курение разрушающе влияет и на другие органы дыхательной системы, что видно по их сетчатому рисунку.
При сравнении флюорографии здоровых легких и принадлежащих курильщику в структуре последних легко определяются патологические отклонения.
- Изменение структуры сосудов. Под воздействием никотина и токсинов клетки лёгких отмирают, но при этом остаются в организме. Они скапливаются вокруг сосудов, образуя наросты. После нескольких лет подобных процессов изменения структуры достигают и периферических отделов дыхательной системы.
- Затемнение лёгких. Под влиянием никотина эластичность стенок снижается, происходит деформация легких курильщика, заметная на флюорографии. Она провоцирует на отдельных участках блокирование процессов газообмена. На рентгенограмме эти области определяются более тёмным цветом. Схожий эффект дают закупоренные смолой ткани. Совокупность этих изменений в лёгких делает конечный рисунок похожим на хаотичное распределение светлых и тёмных пятен. При этом, чем дольше стаж курения, тем большее количество последних на флюорографическом снимке.
- Снижение чёткости. Закупоривание пор смолой и токсинами вызывает кислородное голодание организма. Из-за этого органы дыхания изменяются в структуре. Кроме того, увеличиваются просветы кровеносных сосудов.
- Другие патологии. От табачного дыма и никотина страдают и органы дыхания, и сердечная мышца. На снимке с рентгена, отображающем легкие курильщика, а также при других обследованиях (например, УЗИ) это можно заметить по увеличенным размерам сердца.
Из-за постоянных попыток компенсировать кислородную недостаточность и адаптироваться под внешние условия лёгкие стремительно теряют свою эластичность и плотность. Нормальная ткань заменяется фиброзной, которая имеет более плотную структуру.
Развитие процесса начинается в нижнем отделе и далее продвигается вверх. В местах замещения лёгочной ткани фиброзной появляются тёмные пятна и уплотнения, что и выявляет курение пациентом сигарет на постоянной основе в течение длительного времени.
Отображение теней на рисунке лёгких может присутствовать не только у курящего человека. Они могут говорить о развитии ряда заболеваний:
- туберкулёз;
- бронхит;
- бронхиальная астма;
- грыжа диафрагмы и прочие.
Одна и даже две сигареты, выкуренные перед посещением рентгенолога, не оказывают влияние на показатели флюорографии. При отсутствии патологии рисунок лёгких не привлечёт внимание специалистов.
Полного очищения лёгких за несколько дней, и даже недель, добиться невозможно. Однако для улучшения общих показателей рекомендуется выполнять ряд рекомендаций.
Для очищения лёгких от токсинов и продуктов их распада необходимо регулярно проводить время в хвойном лесу. Особо полезно делать это после дождей, когда воздух влажный. Прогулки хвойным лесом рекомендуется устраивать не реже нескольких раз в месяц. Можно совмещать их с физическими нагрузками – бегом, выполнением упражнений и подобными.
https://youtube.com/watch?v=b00mkc3BfTQ
Флюорография показывает только грубые и выраженные изменения в органах дыхания. Это более безопасный, но менее достоверный метод. Его используют во время профилактических осмотров. Что касается классического рентгена, то это обследование чаще применяют для диагностики болезней. Оно показывает четкую и точную картину патологических изменений.
Во время флюорографии исследуется состояние не только легких, но и других органов грудной клетки (костей, сердца, сосудов). На снимке можно увидеть следующие особенности строения тканей:
- изменения структуры;
- скопление газов и жидкости;
- уплотнения в органах.
Показывает ли флюорография курение? Это исследование не может установить сам факт наличия вредной привычки у человека. По снимку невозможно определить, курит пациент или нет.
Но, как известно, никотин и табачные смолы оказывают крайне негативное воздействие на органы дыхания.
Если у пациента на фоне курения уже возникли патологии легких и бронхов, то флюорографический снимок покажет данные изменения.
Если человек активно и регулярно курит, то рано или поздно это сказывается на состоянии дыхательной системы. Появляются рентгенологические признаки заболевания, которое врачи называют «хроническим бронхитом курильщика».
Однако причиной такого бронхита может быть не только никотин. По снимку можно определить наличие патологических изменений, но невозможно установить их точную этиологию. Чтобы предположить возможную причину бронхита, врачу необходимо провести сбор анамнеза. Установить факт курения можно только в ходе беседы с пациентом.
Нередко начинающие любители табака задают вопрос: «Показывает ли флюорография курение, если куришь год?» На таком раннем сроке хронический бронхит возникает далеко не у всех пациентов. Однако здесь многое зависит от изначального состояния здоровья и количества выкуриваемых сигарет. В некоторых случаях интенсивное курение может привести к появлению бронхита уже в течение 6-12 месяцев.
Многие люди ошибочно полагают, что курение кальяна практически безвредно. Однако кальянный табак тоже содержит токсичные вещества, которые раздражают органы дыхания. Конечно, вред от обычных сигарет гораздо больше. Однако говорить о полной безопасности кальяна невозможно.
Показывает ли флюорография курение кальяна? Исследование выявит лишь последствия этой привычки. У заядлых курильщиков кальянного табака тоже со временем появляется хронический бронхит. Кроме этого, интенсивное затягивание приводит к уменьшению объема легких.
В наши дни немало людей пользуются электронными сигаретами. Можно даже услышать мнение, что с их помощью гораздо легче бросить курить. Но так ли это безвредно? В состав жидкости для заправки электронных сигарет входят различные ароматизаторы. Эти вещества могут спровоцировать развитие облитерирующего бронхиолита. Это воспаление и сужение мелких бронхов (бронхиол).
Показывает ли флюорография курение электронных сигарет? Если у пациента уже развился бронхиолит, то на снимке будет заметна обструкция мелких бронхов. В запущенных случаях обследование покажет наличие рубцовых изменений в тканях. Со временем такая патология может привести к снижению дыхательной функции и дефициту кислорода в организме.
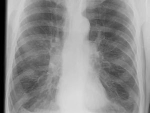
Как уже упоминалось, при длительном и активном курении в органах дыхания происходят изменения. Рассмотрим подробнее отличие флюорографического снимка курильщика со стажем и здорового человека:
- Наличие уплотнений. В норме на снимке не должно быть очагов темного цвета в легких. При курении снижается эластичность тканей на определенных участках. Эти зоны уплотнения выглядят как затемнения.
- Объем сердца. У здорового человека размеры этого органа остаются в пределах нормы. При курении резко нарушается дыхательная функция. Это приводит к расширению отделов сердца. Орган выглядит на снимке несколько увеличенным.
- Сосудистый рисунок. У курильщиков на снимке более резко выражена сеть сосудов, чем у здоровых людей. Это связано с тем, что воздействие никотина и продуктов горения приводит к образованию наростов на артериях и венах.
- Пятна на легких. Табачные смолы закупоривают поры легких. Образуются участки со сниженным газообменом, которые выглядят на снимке как темные или светлые включения. В норме на снимке не должно определяться пятен.
- Легочный рисунок. У курильщиков тени от сосудов на снимке выражены нечетко. В этом случае врачи говорят об ослаблении легочного рисунка. Такой признак указывает на начало фиброзных изменений в тканях.
- Утолщение стенок бронхов. Это является следствием постоянного раздражения дыхательных путей смолами и никотином. Такая особенность указывает на наличие хронического бронхита.
Однако даже по таким признакам нельзя сделать однозначный вывод о том, что пациент курит. Ведь подобные изменения встречаются и у людей без вредных привычек. Чтобы установить точную этиологию отклонений, врачи назначают дополнительные обследования.
Невозможно дать однозначный ответ на вопрос о том, показывает ли флюорография курение. Это обследование не может определить сам факт пристрастия к табаку.
Но оно с высокой точностью диагностирует негативные последствия употребления никотина. Поэтому если у курильщика на снимке определяются патологические изменения, то, вероятнее всего, они спровоцированы вредной привычкой.
Это означает, что необходимо пересмотреть свой образ жизни и немедленно отказаться от курения.
Источник: https://FB.ru/article/464843/pokazyivaet-li-flyuorografiya-kurenie-i-mojno-li-vyiyavit-takim-obrazom-kurilschika
Поделиться:
