Рентгенография грудной клетки – один из наиболее информативных методов диагностики заболеваний дыхательной системы, включая пневмонию.
Он позволяет не только выявить патологический процесс, определить его локализацию и особенности, но и оценить эффективность проводимого лечения.
Как же выглядят рентгенологические признаки пневмонии на снимках, и как проводится рентгенография при данной патологии?
Пневмония представляет собой воспалительное заболевание, которое вызывают патогенные микроорганизмы – вирусы, бактерии, грибки.
Симптомы включают повышение температуры до 38-39 градусов, кашель, одышку, хрипы в грудной клетке, ухудшение общего самочувствия.
Сложность диагностики пневмонии заключается в том, что вышеперечисленные признаки характерны не только для воспаления легких, но и для других заболеваний – острого бронхита, плеврита, онкологических процессов и т.д.
Проходя сквозь ткани человеческого тела, они оставляют на поверхности пленки следы, из которых формируется изображение соответствующего органа.
По ней можно определить патологические изменения и составить полную картину разных заболеваний, в том числе воспалительных процессов в респираторных органах.
В число показаний к проведению рентгена грудной клетки входит кашель с обильным отделением мокроты, сильная лихорадка (38-39 градусов), озноб, боли в груди и другие признаки, которые могут свидетельствовать о патологических процессах в органах дыхательной системы.
ВАЖНО! Постановка диагноза при пневмонии должна основываться не только на рентгеновских снимках, но и на результатах выслушивания грудной клетки, анализов крови и мокроты и других методах обследования.
Существует два основных способа проведения процедуры – обычный (пленочный) рентген и цифровой, который позволяет получить более четкие и информативные снимки, а также снижает рентген-нагрузку на организм. Выбор методики зависит от оснащения конкретного медицинского учреждения – аппараты для цифровой диагностики есть далеко не во всех больницах и поликлиниках.
Рентгеновское и флюорографическое исследование имеют один и тот же принцип, но при диагностике пневмонии предпочтение отдается рентгену.
Флюорография позволяет выявить изменения в тканях легких на ранних стадиях, но не дает достаточно четкой рентгенологической картины для постановки точного диагноза.
Вместе с тем, коэффициент облучения при проведении процедуры гораздо меньше, чем при рентгеновском исследовании, поэтому флюорографию делают в профилактических целях, а рентген – непосредственно для диагностики патологических процессов при наличии соответствующих симптомов.
Пневмония имеет множество форм клинического течения, а очаги воспаления могут располагаться в любом сегменте легких, и в некоторых случаях определить заболевание по рентгенограмме бывает непросто, особенно если поражен небольшой участок органа. Если после проведения исследования у врача остаются сомнения, больному назначаются дополнительные диагностические процедуры – как правило, КТ или МРТ.
СПРАВКА! Труднее всего выявить пневмонию у детей, страдающих от иммунодефицитных состояний, поэтому в таких случаях ребенка лучше сразу направлять на КТ или МРТ.
После проведения рентгенографии снимки должен изучить специалист, и на основе полученных данных и результатов других исследований сделать соответствующие выводы и поставить диагноз. В норме легкие и бронхи человека выглядят следующим образом:
- легочные доли имеют одинаковый, равномерный черный оттенок;
- в районе сердца наблюдается белый просвет;
- ребра и ключицы серые, с привычными очертаниями;
- купола диафрагмы белого цвета;
- позвоночный столб расположен в центре.
Признаки пневмонии на рентгеновском снимке во многом зависят от формы заболевания и его стадии, а также от локализации патологического процесса. Если исследование показало признаки пневмонии, необходимо как можно скорее приступить к лечению – запущенный патологический процесс опасен не только для здоровья, но и для жизни человека.
Первый признак пневмонии на рентгеновском снимке – появление очагов затемнения с неровными контурами в разных частях легкого, которые могут иметь разный размер, от 3-4-х до 12 мм.
https://youtube.com/watch?v=MCvf-qaVIXc
При этом важно понимать, что рентгенограмма (рентгеновский снимок) является двухмерным изображением, при том, что любые исследуемые анатомические структуры – трехмерные объекты.
По этой причине, чтобы получить максимум информации о состоянии органа и оценить развитие пневмонии рентген принято делать в двух проекциях (передней и боковой). В попытках повысить результативность исследования, делают снимок в косой или диагональной проекции. Однако, подобное практикуется редко.
Рентгенография позволяет осуществлять детальное изучение определенных участков легкого, которые по мнению врача, вызывают подозрения. Для этого проводится фокусировка на интересующем участке и получается локализованное изображение очага воспаления.
В зависимости от метода проведения рентгена, выделяют:
- Обзорный – проводится рентген легких целиком.
- Прицельный – снимок определенного участка.
Что касается основных целей проведения рентгенодиагностики у взрослых людей с пневмонией, они следующие:
- Подтверждение диагноза, а также определение вида патологического процесса и масштабов поражения легочной ткани.
- Отслеживание динамики развития болезни с целью определить эффективность проводимого лечения.
- В целях отслеживания или предупреждения развития осложнений.
- Также рентген проводится после выздоровления, чтобы оценить структуру легких, предпринять меры по реабилитации пациента и устранению остаточных явлений после перенесенного заболевания.
Расшифровать данные рентгеновского снимка способен только опытный рентгенолог. Также необходимо знать, что основным рентгенологическим признаком воспаления легких является участок или участки затемнения легочного поля. Однако, здоровые легкие на снимке имеют темный цвет, в то время как затемнения являются белыми участками.
Теперь рассмотрим различные виды пневмонии на фото рентгеновских снимков.
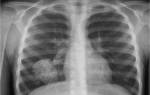
Данному виду патологии свойственно поражение небольших участков легочной ткани.
Изображение очаговой пневмонии прослеживается плохо, затемнения могут быть средней или вовсе слабой интенсивности.
Размеры очагов поражения в среднем достигают полутора сантиметров, при отсутствии лечения их количество увеличивается. На фото ниже изображен пример правосторонней очаговой пневмонии.
Данной форме характерно формирование больших участков поражения легочной ткани. Патологический процесс может охватывать как одно, так и оба легких. На иллюстрации ниже показана тяжелая форма крупозной пневмонии.
Расшифровывая результаты рентгенологического исследования по снимку, специалист уделяет внимание любым патологическим изменениям.
Анализируется локализация очага воспаления, его размеры, форма, ограниченность.
При этом, если сравнивать рентген и флюорографию, первый метод диагностики является более информативным уже потому, что размеры проекционного изображения гораздо больше.
Еще одним неоспоримым плюсом рентгенографии является тот факт, что снимок делается в двух проекциях. Это позволяет обнаружить патологические изменения, которые могут быть не видны только в прямой проекции.
При «чтении» рентгенографического снимка врач принимает во внимание изменения по виду (зависят от размера), степени интенсивности затемнения и области поражения.
Деление очагов по видам следующее:
- мелкие – размером не более 2 мм,
- средние – 3-7 миллиметров,
- крупные – в пределах 8-11 миллиметров,
- фокусные – их размер начинается от 12 мм, но они могут охватывать весь орган.
Выделяют 3 вариации градации очагов по степени интенсивности:
- начальная степень воспаления – цвет очага темнее кости, но светлее здоровых участков легочной ткани,
- средняя степень воспаления – цвет очага примерно совпадает с отображение костей на рентгене,
- тяжелая степень – яркие светлые пятна или области в легочной проекции.
Касательно областей поражения, выделяют одностороннюю и двустороннюю пневмонию в соответствие с тем, в какой доле парного органа образовался воспалительный процесс. В описании рентгенограммы врач-рентгенолог фиксирует все показатели, после чего ставится основной диагноз (если не требуется дополнительной диагностики).
Рентгенодиагностика органов грудной клетки имеет одно неоспоримое преимущество – проведение процедуры не требует специальных приготовлений, помимо соблюдения элементарных правил гигиены. Однако, у этого исследования есть несколько противопоказаний:
- возраст пациента младше 14 лет,
- беременность,
- открытые кровотечения.
Обратите внимание! Перечисленные противопоказания не являются строгими, они лишь рекомендательные. Это значит, что, если для лечения беременной женщины или ребенка необходим рентген и от этого может зависеть жизнь пациента, то проведение диагностики возможно.
Поделиться:
