Своевременная диагностика пневмонии (воспаления легких) играет важную роль в проведении комплексного обследования и назначении правильного лечения. Главным диагностическим методом является рентгенологическое исследование легких.
Это обусловлено тем, что при постановке диагноза нельзя руководствоваться только клиническими признаками, поскольку они могут свидетельствовать о целом комплексе патологических процессов.
Поэтому пневмония на рентгене становится решающим фактором при выборе тактики лечения.
Пневмония – это заболевание, характеризующееся поражением нижних дыхательных путей. Рентгенография назначается при выявлении клинической картины воспаления легких. В отличие от других методов рентгеновское обследование считается самым доступным.
Часто пациенты, которых направляют на обследование, задаются вопросом, покажет ли рентген пневмонию. Да. С помощью такой процедуры на снимке можно увидеть воспаленные участки, оценить состояние легочного рисунка и корней легких.
Больной направляется на исследование при наличии таких симптомов:
- кашель с отделением мокроты. Возможна боль в районе грудной клетки;
- высокая температура, озноб;
- хрипы;
- повышенный уровень лейкоцитов при анализе крови.
Рентгенодиагностика вирусной пневмонии играет важную роль, поскольку признаки заболевания не всегда очевидны.
Встречаются атипичные проявления пневмонии, среди которых: нормальная температура тела, пациент поначалу не страдает от удушливых приступов кашля, хрипов, болей в грудной клетке и выглядит вполне здоровым и подвижным.
Противопоказания к проведению рентгенограммы не выделены. Единственным ограничением может быть беременность. Тем не менее, при подозрении у женщины в положении пневмонии, обследование должно проводиться, потому как постановка правильного диагноза важна для выбора хода лечения. При этом проводятся меры по минимизации вредного воздействия лучей – тело пациентки накрывается свинцовым фартуком.
Расшифровка пневмонии на рентгеновских снимках проводится по четырем признакам: изменение рисунка и корней легкого, затемнения и просветления. Признакам, указывающим на пневмонию, которые можно увидеть на снимках, свидетельствуют такие критерии:
- полное затемнение легочной ткани;
- затемнение некоторых участков или долей легкого (правое легкое состоит из трех долей, левое – из двух);
- затемнение определенного сегмента легкого.
По размеру затемнения (овальные, круглые или кольцевидные) могут быть мелкими (до 3 мм), средними (до 7 мм) и большими (тотальными). Участки поражения могут быть единичными или обширными.
Описание рентгенограммы легких при пневмонии осуществляется с учетом картины на снимке. Изменения могут указывать на такие виды и формы заболевания:
- очаговая,
- крупозная,
- абсцедирующая,
- аспирационная,
- бронхопневмония и другие.
Каждая из этих форм имеет свои характерные особенности.
Отличительной особенностью бронхопневмонии является воспалительный процесс не только в легких, но и в бронхах. Чаще всего такая форма заболевания развивается от инфекции верхних дыхательных путей.
В свою очередь, бронхопневмония может быть односторонней и двусторонней и сопровождаться признаками, характерными для всех видов воспаления легких.
Такой симптоматики достаточна, чтобы врач назначил рентген при бронхопневмонии.
https://youtube.com/watch?v=MCvf-qaVIXc
Рентген может не показать очаговое воспаления лёгких, так как начальные стадии могут характеризоваться слабым потемнением.
Рентгенологи предполагают заболевание по следующим проявлениям:
- обнаружено изменение образа лёгких на небольшом участке;
- увеличивается размер корня лёгкого;
- появляются патологические нечёткие тени на некоторых областях тканей.
Для интерстициального типа пневмоцистоза характерны такие описания, как:
- уплотнения клетчатки бронхов;
- перилобулярные тени;
- расширение сосудистого пучка бронхов;
- прикорневые уплотнения похожи на расширения корней лёгких.
Крупозный или долевой вид пневмонии характеризуется большими потемнениями средней интенсивности, поражающими одну или обе доли лёгких.
Выделяют следующие признаки, видимые при расшифровке снимков:
- тени на одной или двух сторонах;
- смещение пространства среднего отдела грудной клетки к области воспаления;
- сильная деформация рисунка лёгких;
- заполнение лёгочного пространства жидкостью;
- изменение куполов диафрагмы;
- расширенные корни лёгких.
Для точной диагностики крупозного воспаления проводят прямую и боковую рентгенографию для оценки тяжести поражения лёгочных долей.
Для начальной стадии пневмонии характерны такие признаки:
- повышение интенсивности и четкости легочного рисунка;
- легкое затемнение легочных полей в области локализации патологических изменений;
- увеличение площади корня легкого с одновременной потерей его структурности.
Вследствие увеличения кровенаполнения легких снимок грудной клетки, на первой стадии болезни, напоминает решетку (сотовое легкое).
Осложнениями называют разные формы абсцессов и плевритов, а также перисциссурит, которые проявляются на рентгеновских снимках.
Также при абсцедирующей форме пневмонии на рентгене могут отображаться распады тканей лёгких (они сливаются между собой).
Заметить плеврит на снимке можно:
- по затемнению полей лёгких (за счёт обилия внутренней жидкости);
- по смещению средостения.
Воспаление плевры обозначено чёткими контурами щели между долями, расширенным лёгочным корнем ближе к очагу поражения.
Рентгенологический снимок на стадии излечения характеризуется такими особенностями:
- снижение интенсивности или площади затемнения;
- изменение рисунка легкого в местах наибольшего поражения;
- исчезновение крупных очагов и появление мелких;
- расширенный корень легкого;
- рубцовые образования на легочной ткани;
- отсутствие горизонтального затемнения.
Отличительные признаки атипичной формы пневмоцистоза при рентгеноскопии:
- размытые нечёткие тени;
- деформация рисунка сосудов, изменения ветвей бронхов;
- иногда встречаются двусторонние очаговые воспаления;
- затемнения округлой формы.
Видимые изменения на снимке могут быть заметны даже после 4 недель лечения.
Детская рентгенография при вирусной или пневмоцистной пневмонии отличается от взрослой. Делать снимок и расшифровывать его необходимо как можно скорее, поскольку даже мелкие воспаления быстро разрастаются, проводя к крупозной форме, затрагивающей оба лёгких.
Рентгенологическая картина у детей выглядит так:
- небольшие, 1-2 мм, локальные потемнения в нижней части лёгких;
- плотные пятна при глубоком воспалении;
- увеличение лимфоузлов средних отделов грудной клетки не отображается на снимке;
- нарушения рисунка после исчезновения теней сохраняются ещё неделю;
- плотные участки воспаления перекрывают лёгочный рисунок.
У детей часто наблюдается вздутие тканей лёгких. Это затрудняет рентгенодиагностику, которая не покажет некоторые разновидности болезни.
Загрузка …
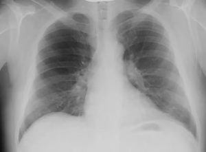
На фото видны признаки пневмонии:
- светлые полости;
- размытые контуры воспалительных очагов;
- затемнения за счёт уплотнений.
Сравнение здоровых и воспаленных легких на рентгенографии Абсцесс лёгких на рентгеновском снимке Абсцесс при левостороннем верхнедолевом воспалении лёгких Очаговая пневмония Крупозная пневмония на рентгене Казеозная пневмония
Узнать подробнее, как проводят рентген при пневмонии можно из видео канала «Анатомия человека»
Источник: https://hromosoma.com/rentgen/pnevmoniya-na-rentgene-10359/
Поделиться:
