Кто-то начинает думать, что всё это результат развития воспаления легких или туберкулеза. Люди, готовые услышать самой печальный прогноз, не исключают появление у них даже ракового заболевания.
Естественно, лучше всего, если вы слышите от врача, что на снимке нет никаких отклонений и вы полностью здоровы.
Тогда человека вряд ли будет волновать, как выглядит на снимке флюорографии бронхит, туберкулез или раковое заболевание.
Флюорография — популярный в медицинской практике метод исследования, с помощью которого получают информацию о состоянии грудной клетки, позволяющую обнаружить заболевание на ранней стадии развития.
Когда грудная клетка человека подвергается рентгеновскому облучению, во время которого задействуется также специальный подсвеченный диск, на пленку или в электронный файл проецируется изображение бронхов и легких.
Оснований для того, чтобы направить больного на прохождение флюорографии, может быть несколько.
Обычно об этом больному сообщают, когда он проходит общеобязательный медицинский осмотр, но в некоторых случаях это может быть связан и с определенными нарушениями в состоянии здоровья, когда у больного долгое время держится температура тела на высоких отметках, беспокоит на протяжении двух-трех недель сильный грудной кашель, присутствует слабость, повышенное потоотделение и общий упадок сил.
Если обратиться к статистике, то ежегодно флюорографические исследования позволяют:
- до 50% больным назначить своевременное лечение обнаруженного на начальной стадии хронического или обструктивного бронхита;
- до 12 % заболевшим туберкулезом узнать о своей патологии до момента проявления клинических симптомов;
- выявить до 3% опухолевых процессов в тканях легких.
В некоторых случаях направление на прохождения флюорографического исследования может быть вызвано необходимостью диагностики состояния костей грудной клетки. Но в большинстве случаев эту информацию можно получить с помощью рентгена.
Последний отличается от флюорографии тем, что при этом виде исследования грудная клетка человека подвергается меньшей дозе облучения, но получаемые с его помощью данные предоставляют менее точную картину о состоянии легких, что не позволяет вовремя выявить начальную стадию заболевания.
В целях профилактики взрослым желательно проходить флюорографическое исследование не реже одного раза в год. Люди же определенных профессий, которым приходится тесно взаимодействовать с детьми, а также сотрудникам больниц и лицам, чья работа проходит в неблагоприятных экологических условиях, такую процедуру необходимо проходить как минимум раз в полгода.
Обязательным прохождение ФЛГ каждые полгода является для следующих категорий больных:
- лиц с астматическими, заболеваниями ЖКТ и ВИЧ-заболеваниями в хронической форме;
- людей, выкуривающих ежедневно более одной пачки сигарет, в том числе курильщиков со стажем;
- пациентов, проходящих лечение от туберкулеза или имеющим подозрение на него;
- больных, ранее переболевших воспалением легких или бронхитом;
- в случае подтверждения рака легких или после ранее перенесённой операции, которая была назначена из-за выявленного ракового заболевания.
Если больной последний раз проходил флюорографию менее года назад, но врач во время приема настоял на внеочередном проведении исследования, то это означает, что существует высокая вероятность развития у человека одного из вышеперечисленных недугов.
В некоторых случаях флюорографию по рекомендации врача можно проходить и чаще, чем каждые полгода. Что же касается детей, то им можно делать флюорографию только с 15 лет.
Детям в подобном возрасте делают прививки Манту для определения реакции организма на возбудителя туберкулеза, а рентгеновское излучение позволяет выявить на ранней стадии заболевания легких и последствия бронхита.

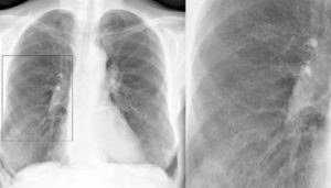
В отличие от острого, хронический бронхит выглядит на снимке следующим образом:
- разрастание фиброзной ткани и наличие малоструктурных корней;
- деформация или ярко выраженный рисунок;
- стенки бронхов частично утолщены;
- наличие расплывчатых границ.
Это основные моменты, отличающие хроническое заболевание бронхов от его острой формы.
Для выявления патологий дыхательной системы и, в частности, бронхита, терапевт или педиатр назначают бронхографию. Суть этого метода заключается во введении в полость бронхов, трахеи с помощью специальной трубки йодсодержащего вещества.
После этого больному делают рентгеновские снимки в разных проекциях. Введённое вещество отлично видно на изображениях, поэтому по его расположению, степени заполнения бронхов можно судить о состоянии дыхательной системы. Это исследование важно на этапе лечения обструктивного и хронического бронхитов, поскольку позволяет сделать верные выводы о характере изменений в органах дыхания.
Чтобы избежать заболевания бронхитом, необходимо своевременно начинать лечение сезонных вирусных инфекций, следить за состоянием иммунитета, проводить закаливающие процедуры. Если же случилась неприятность, и появились его симптомы, важно обратиться за медицинской помощью, чтобы избежать развития пневмонии, которая нередко приводит к летальному исходу.
В качестве профилактических мер важно ежегодно проходить флюорографическое исследование. Методика позволяет выявить туберкулёз, астму, бронхит, пневмонию и другие болезни.
Важно следить за микроклиматом в помещении, поддерживая показатели влажности и температуры в норме. Чтобы тренировать дыхательную систему, необходимо заниматься спортом как на свежем воздухе, так и в спортзале.
Народная медицина предлагает простые и эффективные средства, способные победить недуг. Вот основные из них.
- Согревающие компрессы. Их делают из спиртовых настоек, мазей. Взрослым людям показано посещение бани, поскольку эта процедура способна активизировать кровообращение и улучшить состояние больного.
- Отвары трав. Чтобы улучшить отхождение мокроты, стоит заваривать корень алтея, побеги шалфея, корни солодки.
Рекомендуется делать ингаляции с использованием физраствора или минеральной воды.
Источник: https://iDiagnost.ru/issledovaniya/fluorografiya/mozhno-li-uvidet-bronhit-na-flyuorografii
Поделиться:
