Основная диагностическая методика, позволяющая выявить лёгочную патологию — рентгенография. Правильная расшифровка рентгена лёгких помогает не только выявить патологию, но и предположить основной этиологический фактор, вызвавший развитие патологических изменений. Диагностика контролирует динамику процесса, эффективность проведённых терапевтических мероприятий.
Рентген здоровых легких
Рентгенография лёгких представлена снимками в двух проекциях, на которых хорошо видны: лёгочная ткань, рёбра, ключицы, плечевой пояс, купола диафрагмы, сердечная тень и тени органов средостения, сосудистого пучка, позвоночного столба и грудины, которые накладываются друг на друга.
Для правильной расшифровки рентген-снимка важно знать: как на рентгенограмме выглядит норма. Лёгкие представляют собой воздушный орган. Даже незначительные затемнения, просветления или асимметрия лёгочного рисунка могут свидетельствовать о серьёзной патологии на ранней стадии развития.
В таком случае важно вовремя заметить изменения и своевременно начать необходимое лечение.
В методике выполнения снимка важно избегать ситуаций, когда возможно искажение результата:
- положение тела пациента — неровное расположение лёгочных полей за счёт неправильного расположения экрана, рентгенологической трубки или наклона пациента, нарушение постановки пациента (раскрытие лопаток, момент дыхательного акта);
- дополнительные артефакты — тени различных украшений (подвески и кулоны, пирсинги и так далее), которые могут заслонять патологические очаги или нарушать целостность восприятия снимка;
- полнота снимка — обрезание на рентгенограмме верхушек, полей, диафрагмальных синусов из-за неправильного расположения экрана;
- чёткость и контрастность рентгенограммы — определяется силой рентгеновских лучей, выбор режима «Худой», «Средний»,«Полный» делает врач. Основываясь на индивидуальных особенностях человека (при большей массе тела и выраженных жировых отложениях требуется увеличить дозу рентген-лучей для чёткого снимка), при помощи цифрового анализа возможно усиление или ослабление контрастности. Здоровые лёгкие (снимок позитив) Здоровые лёгкие (снимок негатив)
Расшифровать рентген лёгких и увидеть грубую патологию может любой терапевт, но подробное заключение предоставляет врач-рентгенолог, опираясь на специальный протокол. Для удобства в протоколе выделен специальный алгоритм анализа, включающий следующие пункты:
- точное название исследования (врач указывает анатомическую область снимка, проекции: прямая, боковая);
- оценивается симметричность лёгочных полей;
- выявляется наличие патологических теней (очаговых, инфильтративных, диффузных) или просветлений в области лёгочной ткани;
- описание лёгочного рисунка: нарушение свидетельствует о патологии сосудов лёгких;
- состояние корней лёгких — наблюдается нарушение структурности лимфатических узлов, исследование патологии крупных бронхов, лимфатической системы (лимфатических узлов);
- описание тени органов средостения (важно для диагностики заболеваний сердца): дуги желудочков сердца, аорты, лёгочной артерии;
- состояние диафрагмы и лёгочно-диафрагмальных углов (синусов): оценивается симметричность стояния диафрагмы, угол синуса, его заполненность (наличие выпота при плеврите). Осумкованный экссудативный плеврит
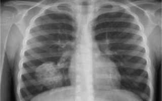
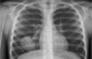
Синдром уплотнения. Инфильтрат. Рак.
Рак при рентгенографии или рентгеноскопии выглядит как «плюс-ткань» — выраженное затемнение участка лёгочного поля. Контуры нечёткие, размытые, так как рак растёт во все стороны и затрагивает здоровые ткани. Наличие округлых теней может свидетельствовать об отсеве метастазов.
https://youtube.com/watch?v=uuUMNSa25q8
Именно в соединительной легочной ткани и происходит отложение копоти. В процессе накопления сажи перегородки становятся ярко выраженными, они будто очерчиваются черным фломастером.
Легочная система здорового и некурящего человека в состоянии самостоятельно справиться с нагрузками в виде поступающей пыли. Реснитчатая эпителиальная ткань регулярно очищает органы дыхания изнутри, «выталкивая» копоть, грязевые и пылевые частички наружу. Человек избавляется от них при помощи влажного откашливания.
Источник: https://xn--2-gtbru.xn--p1ai/bolezni/kak-vyglyadit-rentgenovskij-snimok-legkih-zdorovogo-cheloveka.html
Поделиться:
