Вовремя поставленный диагноз помогает увеличить шансы на адекватное лечение и благоприятный исход. Однако во врачебной практике далеко не все заболевания поддаются точной диагностике на ранних стадиях.
Выяснить только по жалобам пациента отличие рака легких от туберкулеза не всегда представляется возможным. У этих заболеваний хоть и разная этиология (пути возникновения), но в то же время очень схожая симптоматика. Это иногда затрудняет верную постановку диагноза.
Поэтому важно знать их особенности и в чем разница на снимке между этими недугами.
Функция дыхания является основной, жизненно необходимой для человека. Из-за строения легочной ткани, заболевания, возникающие в ней, протекают быстро и на первых стадиях почти не имеют выраженных симптомов. Это особенно касается туберкулеза и рака легких.
Подобные заболевания опасны тем, что без вовремя назначенного адекватного лечения очень быстро переходят в тяжелую форму, приводя к летальному исходу. Основная трудность, с которой сталкиваются врачи, состоит в правильной постановке диагноза, особенно на ранней стадии болезни.
Отличительная особенность туберкулеза и онкологических заболеваний — способность поражать любой орган или систему органов. Но только при легочной локализации эти заболевания характеризуются необратимыми изменениями в тканях и неблагоприятным прогнозом при позднем диагностировании.
Как правило, первые видимые симптомы данных заболеваний следующие:
- появившаяся одышка;
- резкое снижение веса;
- сухой нечастый кашель;
- болевые ощущения в грудной области;
- постоянная слабость даже после отдыха.
При относительной схожести некоторых симптомов, причины, течение и лечение этих болезней абсолютно разные.
Если кратко охарактеризовать эту болезнь, то можно описать ее как опухоль, которая возникает из эпителия слизистой или стенок бронхов, а также из эпителия альвеол.
К основным факторам, которые способствуют развитию онкологии (карциномы) легких, относят:
- воздействие канцерогенных веществ;
- воздействие ионизирующего излучения;
- некоторые вирусы.
Помимо этого, развитию заболевания предшествуют вредные условия на производстве или изменения в тканях бронхов после перенесенных заболеваний, в том числе последствия туберкулеза легких.
В результате практических исследований была установлена прямая зависимость между частотой возникновения рака легких и пристрастию к курению. Причем курящие мужчины страдают от этого заболевания гораздо чаще, чем женщины.
К сожалению, легочная онкология не имеет выраженных специфических симптомов, которые бы свидетельствовали о раннем этапе и начале заболевания. По мере прогрессирования болезни ее проявления становятся более яркими и разнообразными.
Однако поводом для усиленной диагностики может стать совокупность следующих симптомов:
- Кашель. По мере развития болезни его характер меняется в зависимости от степени заболевания и стадии поражения ткани бронхов.
Сначала кашель может быть легким, затем он переходит в мучительный сухой кашель, к которому впоследствии присоединяется выделение мокроты с примесью гноя или крови.
- Общая слабость. Это ощущение сохраняется продолжительное время и не проходит после отдыха.
- Боли в груди. Имеют различное проявление и степень интенсивности.
- Одышка.
Зачастую связана со структурными изменениями в отделах дыхательной системы.
Легочная форма болезни опасна тем, что имеет быстрое течение и раннее метастазирование.
Данное заболевание относят к группе инфекционных болезней. Оно развивается в результате инфицирования организма палочками Коха (микобактериями туберкулеза).
Из-за этого в пораженных тканях легких возникают туберкулезные бугорки (очаги специфического воспаления).
В зависимости от формы и степени заболевания туберкулез легких может протекать как в скрытой форме, так и в открытой, с образованием очагов распада в легких и выделением микобактерий.

Условия для развития онкологии:
- Воспалительные процессы, постоянно протекающие в организме.
- Ослабление защитных функций организма. Иммунная система активно борется с инфекцией. У организма не хватает сил противостоять развитию нового заболевания.
- Пораженная ткань не успевает регенерироваться, в результате чего клетки становятся злокачественными.
Даже после выздоровления на протяжении 2 лет сохраняется опасность возникновения опухолей. Существует и обратная зависимость: люди с онкологией рискуют заболеть туберкулезом из-за ослабленного иммунитета.
Дифференциальная диагностика определяет признаки заболевания с максимальной точностью. Способы детального изучения патологий, применяемые в лечебных заведениях:
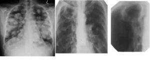
- Рентген. При поражении микобактериями легкие содержат одну или несколько однородных структур с хорошо просматриваемыми пустотами. При заболевании раком на рентгенограмме наблюдается расширение легочного корня.
- Фибробронхоскопия. Процедура помогает проанализировать бронхиальный секрет, узнать масштабность поражения слизистых оболочек и стенок дыхательных органов. Представленный метод позволяет взять ткань для анализа и определить наличие новообразований. Проводится биопсия, помогающая диагностировать заболевание и его стадию.
- торакоскопия. Представляет собой хирургическое вмешательство, выполняющееся под общим наркозом. Полученный материал позволяет выставить диагноз с большой точностью.
- Бактериологические пробы. Для анализа забирается выделяемая при кашле мокрота. Материал подвергается биологическим исследованиям. На генном уровне удается установить возбудителя болезни.
Туберкулез и онкология считаются опасными заболеваниями несмотря на постоянное развитие медицины. Отзывы врачей об этих патологиях сходятся в необходимости регулярно осуществлять медицинское обследование. Ранняя диагностика повышает шансы на выздоровление.
Источник: https://ProTuberkulez.info/diagnostika/kak-otlichit-ot-raka-legkih.html
Поделиться:
