В структуре инфекционно-воспалительной патологии респираторного тракта в отдельную группу входят заболевания, которые сопровождаются выделением гноя из легких.
Они являются довольно серьезными и требуют повышенного внимания.
Из-за чего может возникнуть такая ситуация у ребенка, как она проявляется и что требуется для ликвидации гнойного очага – это главные вопросы, требующие рассмотрения.
О гнойных заболеваниях говорят в контексте бактериального поражения нижних дыхательных путей – легких и бронхиального дерева. В норме эти отделы стерильны, т. е. не содержат микробов (даже сапрофитных). Но в ряде случаев защитные механизмы респираторного тракта ослабевают, и на его поверхности появляются бактерии. Этому способствуют:
- Вирусные инфекции (грипп, респираторно-синцитиальная).
- Инородные тела в бронхах.
- Аномалии строения (дисплазия, эктазии).
- Дефекты мукоцилиарного клиренса.
- Проникающие ранения грудной клетки.
Ведущая роль в развитии гнойного заболевания легких принадлежит золотистому стафилококку, пневмококку, анаэробам (клебсиелла, бактероиды, фузобактерии, пептострептококки), синегнойной палочке. Чаще всего они проникают воздушно-капельным путем, но могут прийти с током крови (гематогенно), при аспирации желудочного содержимого или открытых повреждениях легочной ткани.
Заболевания, при которых вероятно отхождение гноя с мокротой, довольно многообразны. Они включают следующие процессы инфекционного характера:
- Обострение хронической обструктивной болезни легких (ХОБЛ).
- Бронхоэктатическую болезнь.
- Абсцесс легкого.
- Гангрену.
В указанную группу также входят нагноившиеся кисты. А если рассматривать еще и специфические инфекции, то гнойное расплавление легочной ткани часто встречается при туберкулезе (фиброзно-кавернозном и казеозной пневмонии).
Немаловажное значение в развитии бактериальной инфекции у взрослых и детей отводится снижению не только местной, но и общей реактивности организма.
Поэтому в группу риска входят пациенты, часто болеющие респираторными заболеваниями, с иммунодефицитами, болезнями крови, курящие и злоупотребляющие алкоголем.
На фоне снижения местной и общей сопротивляемости и с учетом других факторов, перечисленных выше, бактерии начинают размножаться на слизистой оболочке дыхательного тракта и в альвеолах.
Для анаэробной деструкции определяющим моментом становятся нарушения вентиляции и дренажной функции бронхиального дерева.
Гнойному расплавлению легочной ткани всегда предшествует период воспалительной инфильтрации, а на фоне пневмонии уже образуются полости распада.
Причин, по которым скапливается гной в легких, немало. И все состояния, сопровождающиеся подобным признаком, нуждаются в дифференциальной диагностике.
Каждая болезнь имеет свои проявления. Именно клиническая картина становится основанием для предварительного диагноза.
Врач опрашивает пациента на предмет жалоб и особенностей течения патологии, а затем проводит физикальное обследование.
Осмотр, пальпация (ощупывание), аускультация (выслушивание) и перкуссия (выстукивание) – это методы, позволяющие получить объективную информацию о происходящем.
Обструктивная болезнь – это инфекционно-воспалительный процесс, поражающий бронхи и легкие, который характеризуется прогрессирующими вентиляционными нарушениями. Он развивается постепенно у пациентов после 40 лет, которые длительно курят. Явные признаки бронхиальной обструкции включают:
- Постоянный малопродуктивный кашель в течение дня.
- Неуклонно нарастающую одышку.
- Бочкообразную грудную клетку.
У пациентов выдох удлинен, при аускультации определяется жесткое дыхание с рассеянными сухими хрипами.
Если хронический воспалительный процесс обостряется, то поднимается температура, увеличивается количество мокроты, она приобретает гнойный характер, усиливается одышка.
Длительное течение болезни сопровождается дыхательной недостаточностью (бледность, акроцианоз), формированием «легочного сердца».
Локальные расширения бронхиальной стенки (бронхоэктазии) в основном встречаются у детей или молодых людей. Болезнь сопровождается хроническим кашлем с выделением большого количества гнойной мокроты, особенно по утрам. Помимо этого, в клинической картине будут:
- Кровохарканье.
- Одышка.
- Боли в грудной клетке.
- Лихорадка.
Изо рта издается неприятный запах (гнойный или зловонный). Развитие бактериальной флоры сопровождается синдромом интоксикации – пациентов беспокоят слабость и утомляемость, раздражительность, головные боли. Дети с бронхоэктатической болезнью часто отстают в физическом развитии от сверстников, хуже учатся в школе.
За счет вторичных обструктивных изменений и уменьшения объема легочной ткани (ателектаз, фиброз) развивается дыхательная недостаточность.
Кожные покровы и слизистые бледнеют (анемия), снижается переносимость нагрузок, деформируются пальцы (концевые фаланги становятся как барабанные палочки, а ногти схожи с часовыми стеклами).
Гной, выделяемый при кашле, может скапливаться в расширенных участках бронхиального дерева – эктазиях.
Абсцесс – еще одно гнойное заболевание легких. Это полость, окруженная капсулой из грануляций, фибрина и соединительной ткани. А внутри находятся экссудат и расплавленная ткань в виде гноя. Вокруг очага имеется реактивная инфильтрация или обусловленная предшествующей пневмонией.
https://youtube.com/watch?v=Nt2rOrAnHFc
Повторное абсцедирование легочной ткани возможно. Чтобы избежать этого, старайтесь следовать принципам ЗОЖ и своевременно лечите инфекции легких.
Мой сынок тяжело заболел, нас положили в больницу. У врача есть подозрение на пневмонию и абсцесс в легком. Настаивает на рентгеновском снимке.
Можно ли делать рентген грудничкам, ведь ему всего 5 месяцев?
Здравствуйте! Рентген нужно сделать обязательно. Так врач сможет поставить точный диагноз и назначить верное лечение.
За сына не переживайте: современные рентген-установки предусматривают минимальную дозу облучения.
Читать далее…
Источник: https://zen.yandex.ru/media/id/59bf9ecc9d5cb3ee0df4e084/5a3a1d58f4a0ddb6fda49b20
Плеврит (гной в легких) — это наиболее опасное и распространенное заболевание. В 15 % случаев после этого недуга появляются осложнения.
На практике патологию как самостоятельную и отдельную болезнь можно встретить довольно редко. Чаще всего она возникает в результате перенесения тяжелых осложнений.
При первых подозрениях на появление этого симптома необходимо сразу же обратиться за квалифицированной медицинской помощью в клинику.
Следует разобраться, что собой представляет данное заболевание и в результате чего оно появляется. Плевритом называют воспалительный процесс, который образуется на окружающих легкое оболочках. Развивается сама болезнь очень индивидуально. Инфекционные процессы, сопровождающиеся образованием гноя в легких, бывают разнообразными по своей этиологии.
Если воспаление носит экссудативный характер, то между плевральными лепестками накапливается некоторое количество жидкости. В медицине такое заболевание называют эмпиемой плевры. Если жидкость отсутствует, то на поверхности начинает откладываться фибрин (белок).
В некоторых случаях скопление гноя наблюдается между лепестковыми полостями органа. Существуют и другие патологии, для которых характерно наличие инфекционных образований. В первую очередь, это гангрена или абсцесс легкого, которые носят одно общее название — острое легочное нагноение.
Наиболее часто такая болезнь пробуждается из-за стафилококка золотистого, но также в качестве возбудителя могут выступать и другие микроорганизмы и энтеробактерии.
Причины гноя в легких, как и последствия, бывают разные:
- если в организм человека попали патогенные инородные тела;
- воспаление легких, которые были получены в результате образования анаэробов или стафилококка;
- крохотные организмы, которые попали к человеку гематогенным путем или в результате перенесенного простатита, а также наличие фурункула на верхней губе.
Возбудителем гангрены является гнилостная инфекция, которая проникает в организм бронхогенным путем. По каким же причинам развивается гангрена:
- в случае острой пневмании;
- при бронхоэктазах;
- если имеется опухоль;
- наличие в бронхах инородных тел;
- раны на легком.
Первоначально болезнь появляется в виде некроза паренхимы легкого. В дальнейшем от того, какой вид микробной флоры был занесен, зависит, произойдет ли отсоединение некротической части, или же разовьется расплавление гноя и серьезное гноение легкого.
Основными признаками такой болезни являются: сильные боли, ощущение тяжести, недомогания в боку, тяжелое дыхание. У заболевшего появляется кашель и одышка, температура тела выше нормы, больного не покидает ощущение слабости. Когда гноя становится все больше, боли потихоньку стихают.
Если имеется кашель, то он, как правило, сухой. При рецидиве данной болезни, которая развилась в результате осложнения воспаления, появляется обильная грязная мокрота совместно с гноем.
Помимо этого, учащается и пульс человека. Происходит это по причине того, что гной интоксицируется и вместе с этим сердце сдвигается в сторону.
Если человеку вовремя не оказать квалифицированную помощь, гной может перейти и на полость плевры. Наряду с этим в ней скапливается также и воздух.
В результате этого у заболевшего начинается одышка и острая боль. Когда болезнь переходит с запущенную стадию, на легком начинают образовываться рубцы и развиваться бронхоэкстаз.
Воспаления начинают регулярно повторяться и периодически серьезно обостряться.
К обязательным методам обследования пациента относят:
- внимательный разговор на тему жалоб, выслушивание больного о любом недуге и выяснение необходимых вопросов;
- внешний осмотр;
- проведение лабораторных исследований;
- нужно назначить необходимые дополнительные обследования;
- использовать полученные при пункции бактериологические способы изучения мокроты и жидкости;
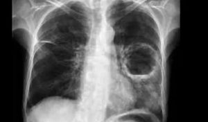
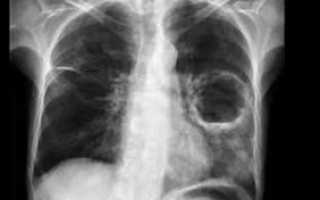
- сделать рентген грудной клетки;
- сделать УЗИ;
- провести компьютерную томографию;
- если необходимо, сделать еще и торакоскопию легких.
Обязательно обращается внимание на цвет кожи больного, степень его бледности и состояние губ. При осмотре врач определяет, присутствуют ли у пациента ограничения при дыхании в той части груди, которая поражена болезнью. Обязательно нужно сделать простукивания по легким.
Все эти методы помогут врачу практически с точностью понять, насколько болезнь поразила пациента, и какой характер носит патология. Если проводится перкуссия, то в тех местах где есть гнойные накопления, звук будет наиболее приглушенным.
В случаях, если проводится аускультация при большом объеме плаврита, дыхание в нижней части легких пациента может полностью отсутствовать.
Плеврит (гной в легких) — это наиболее опасное и распространенное заболевание. В 15 % случаев после этого недуга появляются осложнения.
На практике патологию как самостоятельную и отдельную болезнь можно встретить довольно редко. Чаще всего она возникает в результате перенесения тяжелых осложнений.
При первых подозрениях на появление этого симптома необходимо сразу же обратиться за квалифицированной медицинской помощью в клинику.
Причины гноя в легких, как и последствия, бывают разные:
- если в организм человека попали патогенные инородные тела;
- воспаление легких, которые были получены в результате образования анаэробов или стафилококка;
- крохотные организмы, которые попали к человеку гематогенным путем или в результате перенесенного простатита, а также наличие фурункула на верхней губе.
Основными признаками такой болезни являются: сильные боли, ощущение тяжести, недомогания в боку, тяжелое дыхание. У заболевшего появляется кашель и одышка, температура тела выше нормы, больного не покидает ощущение слабости. Когда гноя становится все больше, боли потихоньку стихают.
Если имеется кашель, то он, как правило, сухой. При рецидиве данной болезни, которая развилась в результате осложнения воспаления, появляется обильная грязная мокрота совместно с гноем.
Помимо этого, учащается и пульс человека. Происходит это по причине того, что гной интоксицируется и вместе с этим сердце сдвигается в сторону.
После попадания возбудителя в воздухоносные пути может начаться процесс воспаления ткани и отмирания клеток на определенных участках органа (абсцесс легких).
Вредоносная бактерия часто переносится в бронхи из других органов или систем организма (основной очаг создают пародонтоз, тонзиллит, гингивит).
Иногда причиной образования некротических полостей может стать сепсис. Особенности течения:
- Период формирования =напрямую зависит от причины и иммунитета организма. В среднем он продолжается от 3 дней до 3 недель.
- Следующий этап – вскрытие полости с гноем и отток мокроты через бронхи.
У этого заболевания есть несколько вариантов течения, поэтому нужно тщательно следить за состоянием здоровья во время лечения и изменениями симптоматики:
- при легком течении клинические признаки болезни выражены слабо, нет резких перепадов температуры или сильного кашля (благоприятное течение);
- при среднетяжелом течении заболевания симптомы выражены умеренно;
- при тяжелом течении все симптомы выражены резко, возможно появление осложнений недуга.
Появление гноя в тканях и последующее разложение легких чаще связано с лишением участков органа воздуха. Факторов для такого процесса много.
Абсцесс участка легкого может развиться вследствие попадания в органы дыхания вредоносных микроорганизмов (бронхогенный способ). Если в других органах тела есть очаги инфекции, она может достигнуть дыхательной системы через гематогенный путь заражения (с кровотоком).
Часто абсцесс легких может начаться вследствие перенесенной травмы или закупорки органов дыхания инородными предметами.
Источник: https://dyhanie-legkih.ru/legkie/gnoj-v-legkih-prichiny-i-posledstviya
Поделиться:


