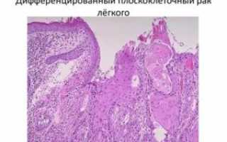
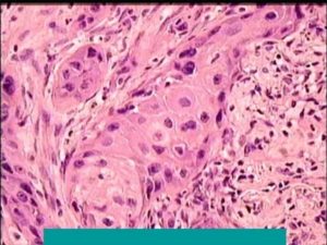
Это злокачественное образование, которое называют карциномой, сформированное из плоских клеток эпителия, окружающих ткани легкого. В тканях самих легких плоские клетки изначально отсутствуют. Изначально плоскоклеточный рак формируется в пищеводе или ротовой полости, попадая ниже вследствие дыхательной функции.
Это провоцирует развитие метаплазии – патологического процесса преобразования одного типа ткани в другой. Кроме дыхательной функции, бронхи также самоочищаются от слизи и вредных примесей с помощью эпителиальных ресничек, находящихся в постоянном движении и проталкивающих скопившуюся мокроту к гортани.
А в результате метаплазии эти реснички замещаются плоскоклеточным эпителием, из клеток которого затем образуются злокачественные опухоли.
Подобрать лечение
Плоскоклеточный рак легкого развивается по разным причинам. До сих пор не до конца изучены некоторые их них, но опишем самые основные, с которыми выявлена четкая и прозрачная причинно-следственная связь.
Никотиновая зависимость. Она является самым распространенным фактором риска. По последним данным статистики, около 90 % пациентов с диагнозом рака легких в течение продолжительного времени подвергались воздействию этой пагубной привычки.
Легкие вторые после гортани сталкиваются с негативным воздействием табакокурения на организм. Вызывая гибель легочных альвеол, никотин снижает уровень кислорода в крови.
Остальные ткани и клетки испытывают кислородное голодание, что негативно сказывается на работе всех систем организма, в особенности сердечной мышцы и кровеносных сосудов.
Вредные условия труда. Принцип очень схож с табакокурением. Заражение дыхательных путей из-за длительного воздействия мелкодисперсной строительной пыли приводит к развитию различных патологий. А плоскоклеточный рак легких лишь одна из них.
Экология. Жизнь в крупных мегаполисах, наряду со стрессами, несет в себе опасность попадания в организм через органы дыхания множества токсинов и канцерогенов. Интоксикация бывает настолько сильной, что может запускать необратимые процессы, в том числе и перерождение клеток в злокачественные опухоли.
Радиация. Бывает природного и техногенного характера. В первом случае это проживание в тропическом и субтропическом климате с максимальной солнечной активностью либо в таких местах с тонким озоновым слоем, как Заполярье.
Им подвержены рентген-лаборанты или люди, живущие вблизи зоны отчуждения после ядерных катастроф.
Наследственность. Если подобными патологиями страдали близкие родственники в пределах двух поколений, то статистически подтверждается повышенный риск возникновения онкологических заболеваний.
Бытовая пыль. Ее регулярное вдыхание повышает риск возникновения различных легочных патологий, в том числе и онкологических, более чем в 10 раз. Именно поэтому рекомендуется проводить регулярную влажную уборку в местах проживания, а особенно сна.
Возраст более 50 лет. Именно после этого возраста значительно уменьшается способность организма противостоять развитию патологий. И статистические данные подтверждают, что более половины заболевших плоскоклеточным раком легких перешли этот возрастной порог.
Хронические заболевания. Пневмония, туберкулез и бронхит способны провоцировать метаплазию клеточного эпителия легких и вызывать развитие рака.
Низкий социальный статус. Частое употребление табака, наркотиков и алкоголя значительно снижает способность организма к регенерации и противостоянию инфекциям, что в конечном счете провоцирует токсические изменения и развитие патологий.
Авитаминоз. Длительный недостаток важнейших групп витаминов в организме человека может вызывать снижение способности к восстановлению и обострению хронических заболеваний. Может быть вызван употреблением в пищу продуктов низкого качества, что самой собой провоцирует дополнительную интоксикацию.
В международном классификаторе болезней (МКБ) плоскоклеточному раку легких присвоен код С34.
- центральный – поражаются главные крупные бронхи;
- периферический – в районе альвеол и мелких бронхов;
- медиастинальный – повреждаются лимфатические узлы в начале процесса поражения;
- диссеминированный – образование нескольких, не связанных между собой, мелких очагов, может происходить в обоих легких одновременно;
- массивный – поражает сразу мелкие и крупные бронхи.
Рассматривается состав клеток биопсированного материала. Это является важнейшим методом исследования, позволяющим назначить лечение.
- Плоскоклеточный неороговевающий рак легких – представляет собой несколько разрозненных клеток с развитой цитоплазмой и практически полным отсутствием кератина. Отличается высокой скоростью образования вторичных очагов поражения.
- Плоскоклеточный ороговевающий рак легких – как правило, четко локализуется в корне легкого или на стенках бронхов и подразделяется на высоко-, умеренно- и низкодифференцированный рак, который и представляет самую большую опасность ввиду быстрого перехода к стадии метастазов.
- Железисто-плоскоклеточный рак – чаще всего диагностируется у женщин и формируется из железистой ткани. У него быстрая скорость развития метастазов и довольно большие размеры опухоли.
- Мелкоклеточный рак легких – стремительно развиваются вторичные очаги, является самой агрессивной формой.
У плоскоклеточного рака легких нет свойственных только ему симптомов. Более того, подобные одиночные проявления могут быть характерны для ряда хронических заболеваний органов дыхания. Но при одновременном проявлении двух и более симптомов рекомендуется в срочном порядке пройти обследование у врача-онколога. Основными симптомами являются:
- интенсивный кашель сухого и влажного характера;
- одышка после легких нагрузок и даже в состоянии покоя;
- боли в области грудной клетки, чаще в виде резей и возникающие при кашле;
- хроническая усталость даже после продолжительного отдыха;
- потеря аппетита, отсутствие интереса к еде;
- боли в области шеи и плеча;
- слизистые выделения во время кашля, могут быть с вкраплениями крови;
- измененный тембр голоса;
- патологические изменения в работе сердечно-сосудистой системы;
- резкое и трудновосполнимое снижение уровня гемоглобина в крови;
- снижение массы тела;
- субфебрильная температура.
Подобрать лечение
Диагностика онкологических заболеваний легких примерно такая же, как и других форм рака. Довольно трудно заметить начальную стадию заболевания из-за практически полного отсутствия выраженной симптоматики, болезнь может удачно маскироваться под иные болезни легких. Как правило, чтобы точно подтвердить диагноз, необходимо провести комплекс диагностических исследований:
- флюорография или рентгенография грудной клетки в двух проекциях – боковой и прямой;
- МРТ (магнитно-резонансная томография) – помогает обнаружить наличие и локализацию метастазов;
- КТ (компьютерная томография);
- метод ПЭТ (позитронно-эмиссионная томография);
- УЗИ органов грудной клетки;
- бронхоскопия – визуальный осмотр опухоли внутри легкого;
- торакоскопия – биопсия образования для гистологического исследования и определения типа рака;
- общеклинические анализы крови, мочи и кала.
От точности диагностики зависит назначение максимально эффективного лечения или облегчения жизни для пациента с подтвердившимся диагнозом.
От верного определения стадии заболевания зависит примерный прогноз продолжительности жизни пациента.
Предраковая. Для нее характерна диагностика начальной метаплазии легочной ткани. Выявление этой патологии не говорит о злокачественности, но имеет высокий риск появления торакального рака в ближайшее время.
Первая. Размер опухоли не превышает 3 см, локализуется четко в пределах одной доли легкого, нет метастазов. Выживаемость составляет 80 %.
Вторая. Диаметр опухоли – не более 6 см. Могут быть выявлены первичные метастазы в лимфоузлах. Начинается угнетение дыхательной функции из-за невозможности доли легкого полноценно выполнять свою функцию. Процент выживаемости – 50.
Третья. Размер опухоли – примерно 6–8 см. Опасность в распространении метастазов по организму. Появляются сопутствующие патологии из-за нарушения функций жизненно важных органов. Выживаемость – около 20 %.
Термальная (четвертая). Опухоль – более 8 см. Весь организм поражен метастазами. Выживаемость – 2 %. На этой стадии пациенты живут не более двух лет.
Существует несколько основных методов с доказанной клинической эффективностью. Однако стоит заметить, что современные способы включают в себя целый комплекс мероприятий, включающий как хирургические, так и консервативные методы лечения. Отдавать предпочтение какому-то одному способу не стоит.
Хирургия. Высокая результативность такого вмешательства достигается при отсутствии противопоказаний и проведении операции на 1-й и 2-й стадии. Иссечению подлежит сама опухоль и пораженная часть легкого.
Химиотерапия. Этот метод заключается в введении в кровь пациента препаратов химической фармакологической промышленности – токсинов, для которых характерен эффект разрушения атипических клеток и прекращение их деления. Бывает предоперационная, адъювантная (послеоперационная) и как поддерживающее (паллиативное) лечение на поздних стадиях.
Лучевая (радио-) терапия. Представляет собой воздействие ионизирующей радиации на очаг поражения тканей с целью подавления активности атипичных клеток. Может применяться совместно с химиотерапией.
Иммунотерапия. Основана на блокировании факторов роста новых кровеносных сосудов для питания опухоли.
Симптоматическое лечение. В данном случает терапия направлена на уменьшение проявлений или купировании симптомов, что позволяет немного улучшить качество жизни онкобольного. Применяется на 3-й и 4-й стадиях, т. к. задача вылечить сам рак уже не стоит.

В 10-15% случаях пациенты с онкологией легкого не имеют симптомов на начальных стадиях заболевания, но при этом опухолевые новообразования можно легко обнаружить при флюорографическом обследовании.
Клинические признаки подразделяются на первичные проявления с местным характером и вторичные, возникающие вследствие метастазирования и распространения опухолевых процессов по всему организму.
Первичная симптоматика включает следующие признаки:
- непродуктивный и надсадный кашель;
- интенсивные болевые ощущения в области груди;
- одышка;
- кровохарканье.
Постепенное развитие опухолевых процессов вызывает проявление вторичной симптоматики, которая включает:
- фебрильную лихорадку (длительное повышение температуры тела до 38-39 градусов );
- нарушение глотательных функций;
- хрипоту и сиплость голоса;
- кашель с гнойной и (или) слизистой мокротой;
- нарушение ритма сердечных сокращений;
- повышенную потливость;
- болезненные ощущения в плечевой и шейной области ;
- синдром Горнера (опущение верхнего века из-за недостаточности иннервации мышц глазных тканей).
Выделяют и общую симптоматику, куда входят анорексия и ослабление организма. В большинстве случаев плоскоклеточный рак легкого поражает надпочечники, кости, печень и ткани мозга экстраторакальными метастазами.
Лечение плоскоклеточного рака зависит от нескольких факторов:
- степени поражения;
- стадии онкологического процесса;
- иных особенностей развития опухолевых новообразований.
Как правило, применяется комплексная терапия, которая включает сразу несколько методик. Оперативное вмешательство выступает в качестве крайней меры.
Для лечения плоскоклеточного рака используют:
- Химиотерапию. Данная методика основана на применении специализированных лекарственных средств, способных ликвидировать опухолевые клеточные структуры. Для этого пациенту вводят цитостатические препараты внутривенно. Химиотерапия имеет ряд побочных эффектов.
- Симптоматическую терапию, которая предполагает устранение клинических проявлений, возникших на фоне осложнений и сопутствующих раку заболеваний.
- Радиотерапию, предполагающую лучевое воздействие на злокачественные образования. Методика позволяет устранить большинство клеточных структур с опухолевым процессом на 3-4 стадиях онкологии.
- Иммунотерапию, являющуюся сравнительно молодой методикой. Иммунотерапия основывается на использовании веществ, задерживающих рост опухолевых новообразований.
Если все эти методики оказываются неэффективными, то проводится оперативное вмешательство. Оно позволяет удалить опухолевые новообразования вместе с пораженными участками легкого.
При проведении хирургического вмешательства на 4 стадии легкое удаляют полностью, а вместе с ним и некоторые операбельные метастазы. После операции пациенту проводят паллиативное лечение, которое направлено на облегчение жизни.
Терапия включает обезболивание и кислородотерапию.
Плоскоклеточный рак легкого имеет неутешительный прогноз. Заболевание занимает лидирующие позиции по числу летальных исходов. Ранее онкология легких встречалась в основном у мужчин, но на сегодняшний день ее часто диагностируют и у женщин.
При плоскоклеточном раке легкого выживает всего лишь 15% пациентов. Если опухолевые процессы были обнаружены на ранних стадиях, то шансы выжить составляют от 60 до 80%. Излечение плоскоклеточного рака возможно только в случае своевременной диагностики заболевания.
Загрузка…
Источник: https://MedBoli.ru/dyhatelnaya-sistema/prognoz-i-metody-lecheniya-ploskokletochnogo-raka-lyogkih
Поделиться:
