Плевродиафрагмальные спайки – это разросшиеся соединительные ткани, находящиеся между серозными оболочками полости плевры (ткань, покрывающая стенки грудного отдела и легких).
Уплотнения в легких могут быть как единичными, так и множественными. Нередко остаточные изменения становятся результатом ранее перенесенного воспаления легких.
В медицине они имеют и другие названия – синехия, плевропульмональная шварта или комиссура. Тотальное количество шварт приводит порой даже к полному срастанию соединительных тканей, что вызывает массу негативных последствий, в виде болевых ощущений и острой дыхательной недостаточности.
Оглавление
- Механизм формирования
- Симптомы
- Диагностика
- Лечение
- Заключение
Образоваться спайки могут везде, где есть соединительная ткань. Причиной их возникновения, как правило, становится перенесенный воспалительный процесс, например, пневмония или плеврит. Развитию синехий также способствуют остротекущие бронхиты, поражение легкого паразитами, наличие саркомы, туберкулез, а также курение, травмы и онкология.
Спаечный процесс в легких
Еще одним фактором возникновения разрастаний является вдыхание вредных веществ, например, на химических предприятиях. Появляются спайки в результате слишком большого скопления жидкости в плевральной оболочке, что приводит к откладыванию фибрина (нерастворимый волокнистый белок), который в процессе выздоровления не исчезает и формируется в шварту.
Внимание! Опасность наличия спаек в легких заключается в возможном инфицировании срастаний соединительных тканей, что приводит к новообразованиям.
Симптоматика наличия спаек довольно схожа с признаками воспаления легких. Но заподозрить у себя наличие этой патологии вполне возможно. Наиболее частыми проявлениями являются:
- Появление острой боли при дыхании.
- Одышка при физических нагрузках.
- Повышение температуры.
- Беспричинное учащение сердцебиения.
- Бледность кожных покровов.
- Ощущение тяжести при вдохе и выдохе.
- Усиленный частый кашель.
- Головные боли.
- Слабость, сонливость.
- Проблемы с когнитивными способностями.
Перечисленные симптомы ни в коем случае нельзя оставлять без внимания, так как они могут быть причиной не только спаечных процессов, но и указывать на присутствие других заболеваний.
При образовании большого количества спаек может постепенно возникнуть дыхательная недостаточность – когда пациенту тяжело дышать, одышка усиливается. В результате физической нагрузки возможен приступ удушья, требующий неотложной помощи.
Выявить спайки без надлежащего обследования врача невозможно. Диагностирование начинается с устного опроса больного на предмет заболеваний в анамнезе, таких как бронхит или пневмония.
Обязателен и вопрос о наличии перенесенных операций или травм грудины. После этого доктор проводит пальпацию, то есть ощупывает пальцами грудную клетку и осматривает пациента.
Затем, при необходимости, назначается более подробная диагностика.
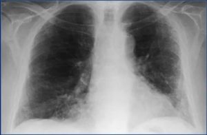
Самым распространенным методом диагностики легких является – флюорография. Но если врач подозревает, что у пациента есть спайки, то больной отправляется на рентген. По рентгеновскому снимку распознать синехию можно по мутным темным пятнам. Она выглядит, как теневое затемнение и неподвижна при вдохе и выдохе.
Иногда выявляется деформация грудной клетки и диафрагмы. Чаще всего спаечный процесс отмечается в нижней части легкого. Такой вид спаек – плевродиафрагмальный, а вид спаек в верхней части – плевроапикальный.
Лечение спаек основывается на запущенности процесса и причин, приводящих к его развитию.
https://youtube.com/watch?v=3WIGWb-PPE8
В случаях формирования абсцессов производится вскрытие и дренирование пораженной зоны. Если уплотнение образовалось из-за попадания инородного тела, хирург проводит оперативное извлечение частицы.
В случаях туберкулезного заболевания осуществляется удаление пораженной части легочной ткани.
Образование уплотнений в легких довольно распространенное явление, сопровождающее различные респираторные заболевания. Чтобы выяснить истинную причину появления инфильтрата необходимо пройти комплексную диагностику, позволяющую медицинскому специалисту назначать правильный курс лечения.
Многие пациенты после консультации врача и диагностики слышат непонятные для них термины. Медицинский специалист сразу поймет в чем дело, а вот для неподготовленного человека это становится сложной задачей.
Нередко приходится сталкиваться с ситуациями, когда образуется некое уплотнение в легких. Что это такое, как объяснить патологическое состояние и чем его устранить – с подобными вопросами следует детально разобраться.
Категория: Органы дыхания 196062
Фиброз лёгких – заболевание, предусматривающее наличие в области лёгких рубцового типа ткани, которая нарушает функцию дыхания.
Фиброз понижает эластичность тканей, что делает прохождение кислорода по альвеолам (пузырькам, где воздух контактирует с кровью) более трудным. Такое заболевание предполагает замену обычной ткани лёгких соединительной тканью.
Обратный процесс регенерации соединительной ткани снова в лёгочную не является возможным, поэтому полностью больной выздороветь не сможет, однако повысить качество жизни пациента все же можно.
Фиброзные изменения появляются по таким причинам:
- наличие длительно протекающих инфекционных болезней;
- наличие аллергии;
- последствия лучевого воздействия на органы человека;
- болезней гранулематозного типа;
- продолжительное вдыхание пыли.
Источник: https://legkieplus.ru/lechenie/pochemu-poyavlyayutsya-i-chto-oznachayut-uplotneniya-v-legkih.html
Поделиться:
